医院ご紹介

あなたの血管は大丈夫? 〜 動脈硬化症を早期発見 〜
当院では頚動脈エコーでのIMTの測定を行っています。

IMTとは・・・

 動脈の内膜‐中膜肥厚(intra-media thickness)を言います。
 IMTは加齢により増加しますが、健常人では高齢者でも1.1mmを超えることはありません。
     
 現在、疾患別の死亡率をみてみると、第1位は悪性新生物(癌)で全体の1/4を占めています。第2位は脳血管疾患(脳梗塞等)、第3位は虚血性心疾患(心筋梗塞等)です。2・3位を合わせると第1位の癌の死亡率を越え、その殆どの病気は動脈硬化が原因で起こります。その他さまざまな病気に動脈硬化は関っています。

 超音波検査は、この動脈硬化を目で見て評価をすることができます。さらに頚動脈エコーでの動脈硬化の評価は、全身の動脈硬化の指標ともなります。
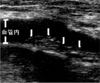
エコー 写真  具体的に、この検査でどういったことがわかるのかあげてみます。

 まず頚動脈エコー検査では、頚部を上行する頚動脈の動脈硬化の程度を目で見て評価することができます(写真)。

 動脈硬化が進行すると血管が狭窄し、最終的には閉塞してしまいます。これらは、脳梗塞の原因になる病気ですので、その予防や治療の際にとても有効な情報となります。

トップページへ 医院紹介へ戻る▲ 当院検査機器(超音波・内視鏡・骨密度)・設備・特徴へ戻る ページ先頭へ移動
©2004 ごとう内科胃腸科